
Pfizer estudió en secreto un marcador de daño cardíaco, la troponina I, en niños de cinco a 15 años, después de la vacunación de ARNm contra el COVID en 2021
Impacto España Noticias
Ya en mayo de 2021 advertimos que había pruebas de que la vacuna contra el COVID de ARNm BNT162b2 de Pfizer causaba daño cardíaco en adolescentes y adultos jóvenes.
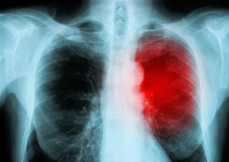
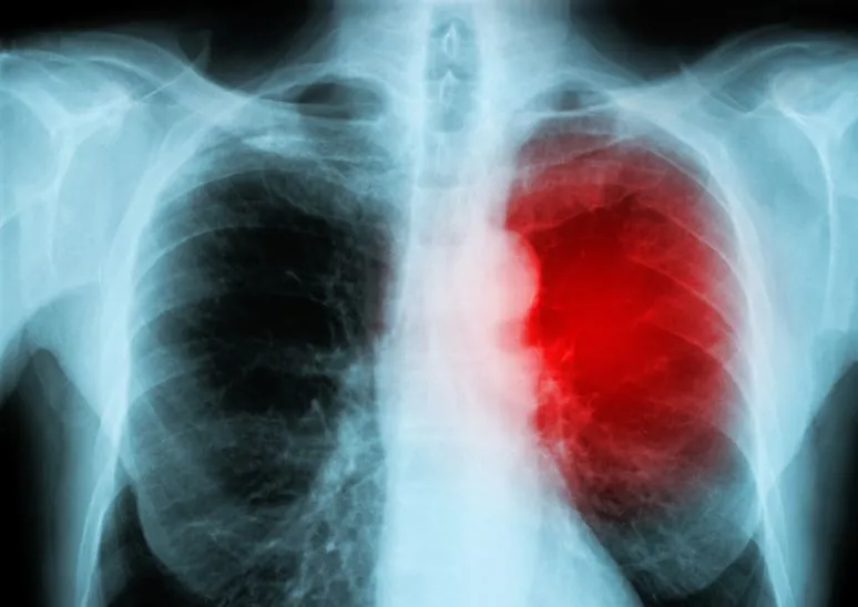
A medida que surge más información de la publicación ordenada por la corte de los documentos del ensayo clínico de Pfizer por parte de la FDA, y a través de correos electrónicos con FOIA, el encubrimiento por parte de los CDC de la evidencia de miocarditis asociada a la vacuna de ARNm COVID-19 en menores se vuelve cada vez más grave. La miocarditis es la inflamación del miocardio, que provoca la degeneración o necrosis de los tejidos.
Por ejemplo, durante el mismo período de tiempo en que los Centros para el Control y la Prevención de Enfermedades (CDC, por sus siglas en inglés) aconsejaban repetidamente a los padres que vacunaran a sus hijos contra el COVID-19, Pfizer realizaba pruebas secretas para detectar marcadores de daño cardíaco en niños vacunados. Buscaron troponina I en menores. Cuando se produce un daño cardíaco, la troponina I, una proteína, se libera en el torrente sanguíneo.
Mientras los CDC instaban a los padres a vacunar a sus hijos, Pfizer estudiaba qué tan gravemente su vacuna de ARNm contra el COVID dañaba el corazón de los niños.
Pfizer llevó a cabo un estudio llamado 'Fase 2/3: Obtención de muestras de suero para pruebas de troponina I potencial'. El estudio, que comenzó en septiembre de 2021, fue "... se llevó a cabo en 2 grupos de edad con el fin de recolectar muestras de sangre para la prueba de troponina I potencial. El grupo de edad más joven (de 5 a <12 años de edad) estará controlado con placebo, lo que significa que recibirá la vacuna activa o un placebo. El grupo de mayor edad (de 12 a <16 años) será abierto, lo que significa que todos recibirán la vacuna activa".

Poco después de la publicación inicial de los documentos de Pfizer, en abril de 2022 escribí mi primer informe, que presentaba pruebas convincentes de que Pfizer y la Administración de Alimentos y Medicamentos (FDA) eran conscientes del potencial causante de miocarditis de la vacuna COVID de ARNm de autorización de uso de emergencia (EUA).
Investigaciones posteriores realizadas por el difunto patólogo alemán Dr. Arne Burkhardt confirmaron que la miocarditis era causada por la inyección de ARNm: reveló la presencia de la proteína de pico en el miocardio de pacientes a los que se les había realizado una autopsia y que habían "muerto repentinamente", además de revelar cicatrices como resultado de los efectos autoinmunes.
¿Quién sabía qué y cuándo?
En febrero de 2021 quedó claro que había una señal de seguridad de la miocarditis en los datos y en la investigación científica "en prensa", es decir, una investigación científica que había pasado la revisión por pares y había sido aceptada para su publicación, pero que no estaba impresa. De hecho, el Ministerio de Salud israelí alertó a los CDC sobre una señal de seguridad de miocarditis el 28 de febrero de 2021.
Mi mencionado anteriormente "Informe 11: Vacuna de Pfizer: la FDA no menciona el riesgo de daño cardíaco en adolescentes" aclaró que los comités que revisan el lanzamiento de la vacuna habían recibido información del documento Pfizer Post-Marketing Experience 5.3.6, publicado en su totalidad en la primavera de 2021, y de otra información disponible públicamente que mostraba 35 casos de miocarditis en niños dentro de una semana después de recibir la segunda dosis de la vacuna de ARNm de Pfizer.
En abril de 2021, Israel comenzó a examinar una incidencia inesperada de miocarditis relacionada principalmente con la segunda dosis de la vacuna de ARNm contra la COVID.
[https://www.reuters.com/world/middle-east/israel-examining-heart-inflammation-cases-people-who-received-pfizer-covid-shot-2021-04-25/] Este hallazgo fue contrario al mensaje prevaleciente en ese momento de que la infección por COVID causaba miocarditis. En junio de 2021, Israel informó de un vínculo entre una segunda dosis de la vacuna COVID de ARNm de Pfizer y problemas cardíacos en hombres menores de 30 años.
Los correos electrónicos entre los CDC y la Casa Blanca, obtenidos a través de la FOIA por Ed Berkovich y reportados por Amy Kelly, muestran que la Casa Blanca y otras agencias de salud importantes estaban al tanto de esta información y trataron de encubrirla.
Estos correos electrónicos revelan el pánico dentro de la Casa Blanca y las agencias de salud pública, que se desarrolló incluso cuando las agencias dirigieron una promoción constante en los medios de comunicación de que la vacuna era "segura y efectiva".

Los correos electrónicos producidos por la FOIA, a pesar de estar muy redactados, contienen información reveladora. Como informó la Sra. Kelly, "Sorprendentemente, los correos electrónicos revelan que los líderes de más alto rango, hasta la Casa Blanca, sabían sobre el daño cardíaco relacionado con las vacunas de ARNm, pero se confabularon entre bastidores para ocultar este efecto secundario al pueblo estadounidense". (Para obtener una descripción y un análisis exhaustivos de los correos electrónicos de la FOIA, consulte el artículo de Amy Kelly).
Como se señaló anteriormente, al principio el mensaje de las agencias de salud pública, y por lo tanto el temor general, era que la miocarditis podría ser el resultado de la infección por COVID-19. Este mensaje llevó a las entidades de salud pública y a los profesionales médicos a abogar por la vacunación contra el COVID.
El 23 de mayo de 2021, el Dr. Demetre Daskalakis, Rol de respuesta de los CDC contra el COVID: Líder sénior de Equidad en los Datos y Participación de COVID y Director de la División de Prevención del VIH/SIDA de los CDC, Centro Nacional para la Prevención del VIH/SIDA, la Hepatitis Viral, las ETS y la Tuberculosis, envió una presentación de diapositivas con el nombre de archivo 'Presentación de actualización de miocarditis 5232021 Final' a Henry Walke, MD, MPH, Director de la Oficina de Preparación y Respuesta de los CDC (la versión de la FOIA está redactada casi por completo).
/contenido/22073/el-pp-rechaza-el-techo-de-gasto-tras-la-negativa-del-gobierno-a-bajar-el-iva-de-
Este evento provocó una oleada de correos electrónicos, en su mayoría redactados, entre el personal de los CDC y otros.
Por lo tanto, los CDC sabían para entonces que se producía miocarditis relacionada con la vacuna COVID, pero la agencia trabajó arduamente públicamente para minimizar la gravedad de ese riesgo y ocultar esa posible causa y efecto.
¿Qué revelan los documentos de Pfizer de octubre de 2023 publicados por la FDA, que demuestran el conocimiento de las agencias de salud a nivel federal de EE. UU. sobre la miocarditis inducida por vacunas?
Los documentos de Pfizer de octubre de 2023 publicados por la FDA revelaron que las agencias de salud de EE. UU. a nivel federal estaban al tanto de la miocarditis inducida por la vacuna.
De hecho, lo sabían, en parte, porque Pfizer intentó abordar estas mismas preocupaciones en la documentación de los ensayos clínicos pediátricos.
Estos documentos contienen protocolos y hojas de "asentimiento" de información para un ensayo clínico pediátrico de la primavera de 2021 en el que Pfizer orquestó el SEGUIMIENTO ACTIVO, es decir, el seguimiento clínico y telefónico con los participantes a los cuatro días, un mes y seis meses, para evaluar el grado de daño cardíaco de la vacuna. (La hoja de "asentimiento" refleja un esfuerzo por permitir que el menor comprenda, en la medida en que sea capaz de hacerlo, lo que implicaría su participación en el proceso de toma de decisiones). Pfizer buscaba específicamente miocarditis.
El primer documento, en formato de cómic y fechado el 15 de febrero de 2021, está diseñado para los más pequeños. El segundo documento es para que los niños mayores acepten, es decir, acepten la capacidad que tienen como menores de edad, de participar en el ensayo.
El cinismo de los empleados de una corporación que entregan cómics a los niños con el fin de asegurar su consentimiento a una prueba de daño cardíaco potencialmente mortal, no necesita énfasis.
En los documentos de Pfizer de octubre de 2023, se discutió una plantilla de estudio de consentimiento informado pediátrico (fecha de la versión de la CIE del 10 de septiembre de 2021), para la "Fase 2/3 de obtención de muestras de suero para posibles pruebas de troponina I (todos los grupos de edad) el 13 de septiembre de 2021", en una presentación de la reunión del Comité Asesor de Vacunas y Productos Biológicos Relacionados (VRBPAC) el 26 de octubre de 2021.
Si bien la FDA y el Comité Asesor de Vacunas y Productos Biológicos Relacionados (VRBPAC, por sus siglas en inglés) reconocieron que la miocarditis es un riesgo importante identificado, esta es una discusión sobre los niños de cinco a 11 años, un grupo demográfico que no está en riesgo natural de padecer dicha afección cardíaca.
En la presentación del VRBPAC del 26 de octubre de 2021 titulada "Revisión de la FDA de la eficacia y seguridad de la vacuna contra el COVID-19 de Pfizer-BioNTech en niños de 5 a 11 años de edad Enmienda de autorización de uso de emergencia", la FDA/Centro de Evaluación e Investigación Biológica (CBER) indicó el monitoreo de los siguientes problemas de seguridad identificados para niños de 5 a 11 años:

https://www.fda.gov/media/153510/download, pág. 31.
De acuerdo con la narrativa predominante en ese momento, la miocarditis relacionada con la vacuna ocurría en adolescentes y adultos jóvenes varones, no en niños pequeños. Al realizar pruebas al grupo de edad más joven, Pfizer tenía dos objetivos:
Demostrar que cualquier daño miocárdico "inducido por la vacuna", como lo demuestra el aumento de los niveles de troponina I, fue leve y temporal, es decir, en consonancia con el mensaje predominante de la empresa y de la salud pública.
Para demostrar que la vacuna no estaba causando miocarditis, ya que no se detectó en la población más joven, lo que, de nuevo, se alineó con los puntos de conversación de las grandes farmacéuticas y la salud pública.
La miocarditis es normalmente un evento muy raro en niños de cinco a 11 años de edad y generalmente es causada por un agente infeccioso viral. A los CDC les preocupaba que los niños pequeños pudieran contraer miocarditis inducida por COVID, pero no entendían que las vacunas de ARNm contra la COVID estaban causando el daño cardíaco mediado por el sistema inmunitario en los niños, que se manifestaría después del breve ensayo, no durante el mismo.
Además, este estudio involucró a Comirnaty™, que no estaba disponible públicamente en los Estados Unidos. Por lo tanto, parece que los niños europeos, no los estadounidenses, participaron en ella. (Haga referencia a la segunda viñeta en la captura de pantalla a continuación. En la vigilancia activa, los científicos buscan activamente casos de enfermedad). Surge la pregunta: ¿Se hizo un estudio de solo Comirnaty™ para mantener la información alejada del público estadounidense?

https://www.fda.gov/media/153510/download, pág. 31.
Pfizer informó en el ensayo pediátrico de cinco a 11 años de antigüedad que no había casos de miocarditis. Sin embargo, la compañía solo realizó dos meses de seguimiento y hubo un pequeño número de sujetos vacunados (3.109). Si bien la miocarditis puede presentarse poco después de la vacunación, particularmente después de una segunda dosis, puede tomar mucho más de uno o dos meses para volverse sintomática hasta el punto en que el paciente se da cuenta de que se está produciendo un problema médico.
Como resultado tanto de la brevedad del estudio como de la pequeña muestra, la ausencia de evidencia de miocarditis en el estudio carece de significación.

https://www.fda.gov/media/153510/download, pág. 30.
¿Qué información se transmitió a los padres de los niños en el ensayo?
El formulario de consentimiento informado de Pfizer-BioNTech para la "Fase 2/3 de obtención de muestras de suero para posibles pruebas de troponina I" aconsejó a los padres de los participantes del ensayo que la miocarditis y la pericarditis son eventos adversos conocidos asociados con la vacuna COVID de ARNm de Pfizer y que deben buscar atención médica si su hijo sufre dolor en el pecho, dificultad para respirar, latidos rápidos, aleteo o palpitaciones cardíacas.
Pfizer-BioNTech también explicó que la proteína troponina I puede ser un indicador temprano de miocarditis o pericarditis y que su hijo participaría en análisis de sangre de troponina I con ese fin.

(019736_S488_M5_c4591007-p2-3-parent-troponin-icd.pdf, pág. 7.)

(019736_S488_M5_c4591007-p2-3-parent-troponin-icd.pdf, pág. 8)
Al perpetuar la VIGILANCIA ACTIVA continua y las pruebas de los niveles de troponina I, Pfizer reconoció el riesgo de miocarditis y pericarditis inducidas por la vacuna y, por lo tanto, realizó pruebas adecuadas para detectar posibles enfermedades.
Sin embargo, es crucial tener en cuenta que esto coincidió con que el director de los CDC, el Dr. Walensky, promovió repetidamente la vacuna COVID de ARNm de Pfizer supuestamente "segura y efectiva" para niños e indicó que "los CDC no han identificado ninguna preocupación con la inflamación cardíaca temporal conocida como miocarditis". [https://abcnews.go.com/Health/cdc-director-rochelle-walensky-concerns-myocarditis-million-children/story?id=81659883]
Entonces, ¿quién es responsable de que la miocarditis no se destaque como una preocupación legítima posterior a la vacunación en los niños?
Si bien Pfizer finalmente llevó a cabo una vigilancia activa de los primeros signos de miocarditis tras la notificación generalizada de la enfermedad después de la vacunación, lo hizo tardíamente, especialmente dado que el Ministerio de Salud israelí dio la voz de alarma sobre la miocarditis posterior a la vacunación ya en febrero de 2021 y que, una vez que se aprobaron las vacunas pediátricas contra el COVID, personas de todo el mundo vieron colapsar a los niños vacunados con COVID de ARNm. e incluso morir, durante el ejercicio normal.
Los Centros para el Control y la Prevención de Enfermedades (CDC, por sus siglas en inglés) y los principales medios de comunicación ocultaron que la miocarditis era una preocupación relacionada con las vacunas, y la Administración Biden, en colaboración con las empresas de redes sociales, censuró o canceló activamente a las personas que compartieron los hallazgos de la miocarditis.
Los Twitter Files demostraron cómo Twitter, con la ayuda de la Casa Blanca, manipuló el debate sobre el COVID [https://legalinsurrection.com/2022/12/twitter-files-covid-edition-how-twitter-rigged-the-covid-debate-with-help-from-the-white-house/], mientras que YouTube, también con la ayuda de la Casa Blanca de Joe Biden, censuró la "desinformación" sobre las vacunas, que resultó ser objetiva. [https://www.foxbusiness.com/politics/white-house-worked-youtube-censor-covid-19-vaccine-misinformation-house-judiciary-committee]
Lo más reprensible es el encubrimiento por parte de los CDC y la FDA, incluida la entonces directora de los CDC, la Dra. Rochelle Walensky. [https://dailyclout.io/46-pages-foiaed-from-cdc-leaders-2021-reveal-fauci-collins-white-house-nih-hhs/] Los estadounidenses confiaron en estos empleados del gobierno de EE. UU. para protegerlos a ellos y a sus familias de los daños relacionados con los medicamentos.
Fracasaron en esa responsabilidad.
Agradecimientos: Dres. Joe y Barbara Gehrett por proporcionar notas sobre los correos electrónicos de la FOIA.
Comparte en Redes Sociales
Evite la censura de Internet suscribiéndose directamente a nuestro canal de Telegram, Newsletter
Haz tu Donación
Síguenos en Telegram: https://t.me/impactoespananoticias
Twitter: https://twitter.com/impactoSumustv
Instagram: https://www.instagram.com/impactoespana?r=nametag
YOUTUBE:https://youtube.com/@impactoespananoticias
Odysee: https://odysee.com/@impactoespa%C3%B1anoticias:a
WhatsApp: 635967726


Proyectos de ley en tres estados declararían las vacunas contra el COVID-19 basadas en el ARNm como «armas de destrucción masiva»

Ex jefe de toxicólogos de Pfizer testifica sobre la peligrosidad de la vacuna Covid

Una investigación sobre la COVID-19 concluye que los confinamientos podrían haber costado miles de vidas

Escándalo: Los CDC ocultaron datos sobre muertes relacionadas con la vacuna del COVID

Afirman que las vacunas infantiles causan autismo

Vivir cerca de una torre de telefonía móvil está vinculado a un aumento de glóbulos blancos por estrés biológico continuo

Riesgo de daño cardíaco por la vacuna Moderna contra el COVID-19 según un nuevo estudio

La lista de Soros: Uno por uno, políticos y periodistas comprados en Europa, EE.UU. y España

La farsa de los MENAs al descubierto: 540 casos de abandono detectados

Marlaska podrá clasificar como "confidencial" información que según él afecte a los "intereses de España" sin pasar por el Congreso

Trece naciones firman un acuerdo para provocar una hambruna mundial destruyendo el suministro de alimentos ¿Cuáles son?


